モリタ歯科医院|矯正歯科 月3回の矯正専門医による矯正治療 子ども矯正 大人矯正
- HOME
- モリタ歯科医院|矯正歯科 月3回の矯正専門医による矯正治療 子ども矯正 大人矯正
矯正歯科
矯正専門医が分析診断いたします。
矯正相談
歯並びや咬み合わせが気になる方、
矯正治療の方法や流れなどについて
治療開始時期など
お気軽にご相談ください。
相談料 保険内診療
矯正日を更新いたしました。
毎月3回、矯正専門医が矯正治療を行っています。
矯正相談を行っていますので、まずはお電話ください。
| 矯正日 |
12月 5日(金) 10日(水) 20日(土) 1月 9日(金) 17日(土) 28日(水) 2月 6日(金) 21日(土) 27日(金) |
|---|
矯正のための精密検査(分析診)
レントゲン、歯型、口腔内写真など採取して
精査・コンピューター解析することで、
必要な器具、治療に要する期間を分析します。
分析診断料¥55,000(税込み)
| オルソパントモ写真 | セファロ | 模型と分析資料 |
こどもの矯正治療
3D矯正(咬合誘導)
・10歳前後からの生え変わりの時期に開始します。
・オーダーメイドの簡単な装置で、前からは見えません。
・ゆっくり顎の成長する力を利用するので痛みが少ないです。
・抜歯をしない矯正です。
咬合誘導の開始時期は、矯正治療が最短期間で最も効果的に進める時期を検討し
ご提案しております。側方歯群といわれる犬歯・小臼歯の萌出が始まり(小学3年生から小学5年(個人差あり))
第2大臼歯の萌出が開始する前を見極めたいと考えております。
その間の定期健診期間はご注意ください。
装置イメージ

施術費¥330,000(税込み)+調整料¥4,400/月 (分析診断料を含む)
反対咬合

施術後

3D矯正→本格矯正
追加の費用で本格矯正に移行できます。
・10歳前後からの生え変わりの時期に開始します。
・3D矯正で顎と歯を適切な位置に準備します。
・準備期間があるため、本格矯正の装置が比較的早く外せます。
・抜歯をしない矯正です。
装置イメージ

追加施術費¥385,000(税込み)+調整料¥4,400/月
反対咬合・歯の位置異常

3D咬合誘導後に本格矯正で施術

インビザライン矯正治療
透明に近く、目立ちにくいマウスピース矯正です。
永久歯列が適応ですが、咬合誘導からの移行も可能です。
より精密な歯型を採取し、
3Dコンピューターで理想的なゴールまでの
マウスピース(20-40個)を作成し、歯の移動状況に合わせ
ステップアップしていきます。
| 装置イメージ | ||
マウスピース作成時にITero(口腔内スキャナー)を使用いたします。
このスキャナーは3Dデジタル印象、口腔内カメラ写真および近赤外光画像
を同時に記録し、ハイブリッドな性能を持つ画像取得システムです。
また、タイムプラス利用で経時的変化を記録することができるので、治療の効果を視覚的に観察することができます。
マウスピース以外にステップごとに
歯の歪みを矯正するため白色のアタッチメントを着けたり、
歯と歯の間を専用のストリップスで研磨いたします。
| アタッチメントを装着した歯面 | 歯間面の研磨 |
インビザライン矯正施術料¥792,000(税込み)+調整料¥4,400/月 (分析診断料を含む)
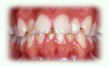
歯の前突と歪みを施術

インビザライン治療開始から1年2ヶ月の状態
大人の矯正治療
・決して遅くはありません。決心した時が開始時期です。
・歯の移動スペースを作る為に、便宜抜歯をすることがあります。
装置イメージ
マルチブラケット矯正施術費¥715,000(税込み)+調整料¥4,400/月 (分析診断料を含む)
・決して遅くありません。決心した時が開始時期です。
・治療期間短縮におすすめの装置です。
・歯の移動スペースを作るために、便宜抜歯をします。
Before



After



・10歳前後からの生え変わりの時期に開始します。
・3D矯正で顎と歯を適切な位置に準備します。
・準備期間があるため、本格矯正の装置が比較的早くに外せます。
・抜歯をしない治療が可能です。
Before

After
